métodos de clareamento dental

Quais os tipos de clareamento dental existem?
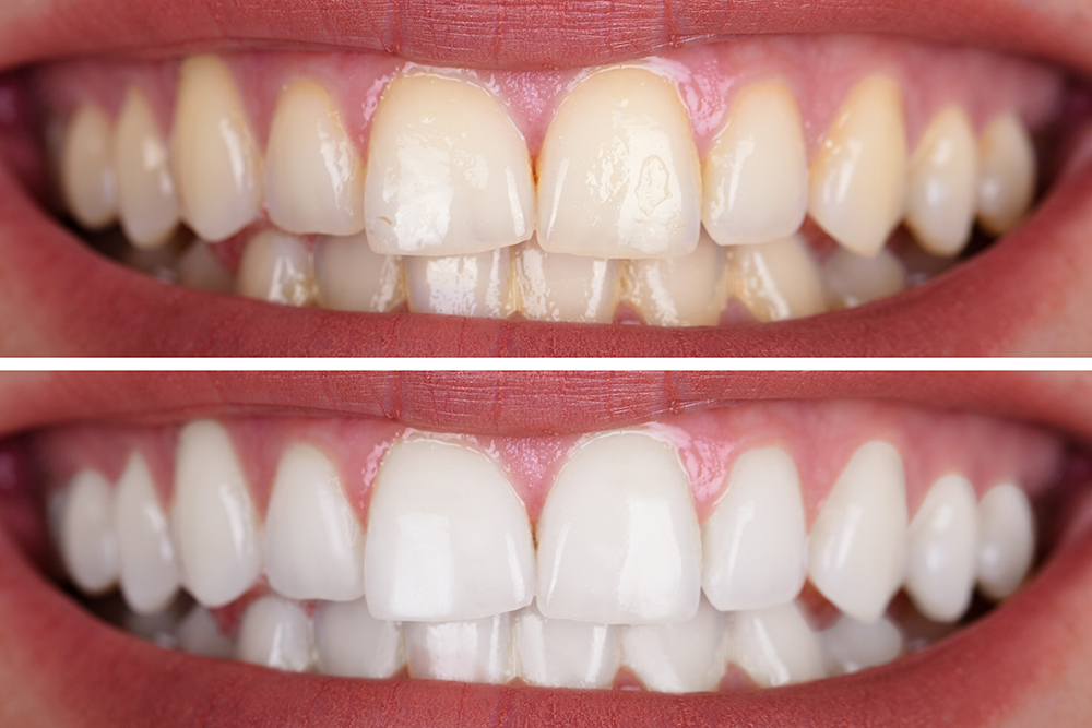
Essa é uma dúvida frequente no consultório. O paciente sempre acha que os clareamentos dentais são iguais para todos e o resultado padrão, ou seja, todo clareamento para qualquer pessoa deixa o dente branco.
Vamos lá. Existem dois métodos para se clarear os dentes. Em consultório, onde a concentração do gel é mais forte com peróxido de hidrogênio, variando de concentrações. Por outro lado, temos o clareamento caseiro ou doméstico, como o próprio nome diz, o pacientes faz em casa, geralmente com peróxido de carbamida em várias concentrações.
Portanto o Dentista habilitado para tal procedimento, vai verificar através de avaliação clínica, fotos e tomada de cor dos dentes para elaborar o melhor método. Os tratamentos devem ser sempre individualizados para cada paciente.Assim conseguimos resultados bem mais satisfatórios.

Conclusão

Se você se identificou com algum dos pontos abordados neste artigo, agende uma avaliação com a equipe da Odonthos. Estamos prontos para cuidar da sua saúde bucal com tecnologia e atenção personalizada.

Para continuar seu atendimento, confirme suas informações de contato